2
Ochemate®欧楷美®高效非氧化性杀菌剂在印染废水回用系统中的应用案例分享
前言
印染行业作为用水大户,每日都会产生大量废水。这些废水成分极为复杂,涵盖染料、料浆、染色助剂、纤维杂质、油剂、酸、碱以及无机盐等。在印染废水回用系统中,微生物的滋生会引发诸多问题,如管道堵塞、设备污堵、腐蚀等,这对回用系统的稳定运行造成了严重影响。在当下环保要求愈发严格的大背景下,印染行业在废水处理与回用方面面临着重大挑战。欧美新材自主研发的高效非氧化性杀菌剂在印染废水回用系统中具有显著的使用效果,为微生物的滋生问题提供了高效、环保、安全的解决方案。
项目简介
浙江某地的一家印染公司污水站共有12套反渗透装置,其中5套为近期新改扩建项目,设计总污水处理量约20000m3/d。该企业在使用其他品牌非氧化性杀菌剂处理印染废水过程中,一直面临着微生物滋生导致的水质恶化和设备堵塞问题。经拆解发现,在保安过滤器滤袋和反渗透装置膜壳端板,均存在大量的活性线虫。

滤芯顶盖上满是活性线虫
系统描述
3.1进水水质分析

水质评价:浊度、碱度偏高,COD非常高,整体水质条件恶劣。
3.2工艺流程
车间综合废水→综合废水调节池→初沉池→冷却塔→厌氧池→厌氧沉淀池→AO池/接触氧化池→二沉池→终沉池→MBR+RO→产水车间回用
方案制定
鉴于上述情况,欧美新材团队为客户精心量身定制了方案。

使用效果对比
自今年6月份药剂进行替代后,通过专业现场指导,效果明显改善,系统一段压差开始下降,系统逐渐趋于稳定。以下图表及对比图真实反馈杀菌效果:
系统运行压差趋势
从系统运行压差来看,在未替换Ochemate®欧楷美®药剂前(6月上旬),反渗透一段压差均在2bar以上,从6月下旬开始一段压差逐渐下降稳定在1.2-1.5bar。

膜元件端面及封板检查
通过打开膜元件进水端面观察,替换使用Ochemate®欧楷美®非氧化性杀菌剂后,膜进水端面干净。

替换前

替换后
通过打开膜壳封板观察,替换使用Ochemate®欧楷美®非氧化性杀菌剂后封板干净,无软垢附着。

替换前

替换后
保安过滤器检查
通过打开保安过滤器观察,替换使用Ochemate®欧楷美®非氧化性杀菌剂后内壁干净,无粘稠物附着。

替换前

替换后
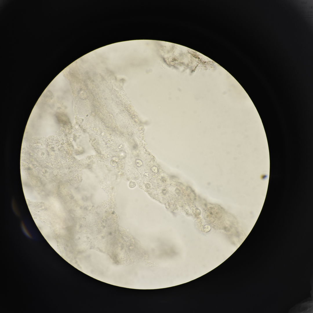
活性物检查
通过对膜壳进水端盖处取样镜检观察,替换使用Ochemate®欧楷美®非氧化性杀菌剂后镜面干净,未检测到有活性物。

替换前

替换后
总结
非氧化性杀菌剂在印染废水回用系统中具有重要的应用价值。然而,如何选择非氧化性杀菌剂的种类、投加方式和加药量的设定,以及怎样避免杀菌剂的耐药性、控制运行成本等问题,都需要专业人员给出合理的建议。欧美新材专注于复杂水处理,公司拥有完整的产品体系、资深的技术团队以及丰富的行业应用经验,让欧美新材成为您的首选吧!